すきっ歯(空隙歯列)とは

すきっ歯とは歯がきれいに並びきらず、隙間があいてしまう歯並びの状態を言います。
			歯科では「空隙歯列弓(くうげきしれつきゅう)」と呼ばれます。
			また、前歯の間に広く隙間が生じている状態を「正中離開(せいちゅうりかい)」と呼びます。
すきっ歯の原因

すきっ歯になる原因は、先天的なものと後天的な原因があります。
- 生まれつき歯の本数が多い(過剰歯)によるもの
 - 虫歯などで歯を失ってしまい歯の本数が少ないことによるもの
 - 成長過程で顎の骨格の変化により歯の隙間ができてしまう
 - 食いしばりや歯ぎしりによって歯が削られて隙間が生じる
 - 舌で歯を押し出すといった習癖によるもの
 
また、すきっ歯は一度生じると、そのまま放置してしまうことでさらに歯並びが悪化する可能性もあります。
			なるべく早期の対策が重要です。
すきっ歯が身体に与える影響
(症状やリスク)
		すきっ歯などの歯並びの乱れは見た目の印象だけでなく、身体にさまざまな影響を及ぼす場合があります。
			噛み合わせが悪くなることで食事がスムーズに行えず、消化器系の負担が増大してしまうことや、歯並びの悪化によって口腔内の清掃が難しくなり、食べ物が挟まりやすくなったり、虫歯や歯周病のリスクが高まることも考えられます。
			また、噛む力が偏ることで顎関節症や偏頭痛などの症状を引き起こす可能性もあるなど、すきっ歯をはじめ歯並びの乱れは単なる審美的な問題にとどまらず、身体全体の健康にも影響を及ぼすことがあるため注意が必要です。
三重県四日市の矯正専門医院
【よっかいち矯正歯科医院】には、
			 すきっ歯でお悩みの方もご来院されています。
		当院の矯正治療では、患者様の「キレイな歯並び」を整えるのはもちろん、同時に「快適に食事がしやすい噛み合わせ」も熟慮することで心身ともに笑顔になれるお口の環境づくりを目標としております。
すきっ歯の治療方法・治し方
すきっ歯の歯並びは、多くの場合マルチブラケット装置やマウスピース型矯正装置(インビザライン)を用いた矯正治療でキレイに整えることが可能です。
			一般的には、歯の隙間が比較的小さい人(軽度のすきっ歯)の場合、マウスピース型矯正装置(インビザライン)を使用した矯正またはワイヤー矯正が適応となります。
また、歯の隙間が大きい人(中等度〜重度のすきっ歯)の場合、ワイヤー矯正であればほとんどのケースで確実な治療が可能です。
症状に合わせてマウスピースタイプの装置を用いた舌癖を改善する治療や、舌の動きを良くするトレーニング(MFT:口腔筋機能療法)などを併用して行う場合もあります。
矯正する歯やお口の状態、患者様のお悩みやご要望によっても矯正方法は異なるため、まずは矯正歯科を専門に担当する歯科医師のもとで、ご自身に合った治療法を見つけましょう。
すきっ歯についてよくある質問

Q1.すきっ歯の矯正治療に
年齢制限はありますか?
		歯科の矯正治療に年齢の上限はなく、お口が健康な状態であれば成人後も何歳からでも治療を開始することが可能です。
			気になった時に、遠慮なく当院へご相談にいらしてください。
Q2.すきっ歯は自然に
治りませんか?
		まだ全ての永久歯(大人の歯)が生えそろっていない場合、犬歯などが中心に向って歯を押しながら生えてくることで隙間が閉じることがあります。しかし、永久歯が全て生えそろった時点ですきっ歯がある場合、自然に歯と歯の隙間が閉じることはありませんので、矯正歯科治療が推奨されます。
すきっ歯の矯正を検討中の方へ(矯正相談・カウンセリングの
ご案内)
		患者様のお口元に関する
全ての悩みを解決するために
		
三重県四日市市の矯正歯科専門医院/歯医者「よっかいち矯正歯科医院」は、歯並びや噛み合わせに関する多種多様なご相談を頂いております。
		 患者様にリラックスして診療を受けていただけますよう、広々とした開放的な院内にカウンセリングルームを備え、ご説明の際には費用や治療方法など患者様が知りたいと思うことを、できる限り明確にお伝えするよう心がけています。
無理に治療を勧めたり、ご納得いただかないまま治療を開始することは一切ございませんので、どうぞご安心ください。
また、患者様の中には「矯正をしたいけど一歩を踏み出せない」という方もいらっしゃいます。
				 当院では、さまざまな選択肢を含めて患者様のご事情に合った提案を大切にしております。
セカンドオピニオンにも対応
- どこの歯医者に通ったらいいのかわからない
 - 他院で受けている治療がいつ終わるのか不安
 - 他院では治療できないと断られてしまった など
 
よっかいち矯正歯科医院には、矯正治療に特化した歯科医師が在籍しているためセカンドオピニオンをご希望される患者様も多く来院されています。
			矯正治療に不安を抱えている方や、一般の歯科医院で矯正が難しいと診断された患者様の受け皿になれるよう、専門性を活かし尽力してまいります。
ご予約・お問い合わせについて
LINE、Instagramでの
問い合わせにも対応
		HPのお問い合わせフォーム、インスタグラムのDM、LINEなどでもご予約・ご相談を受け付けております。
			些細なことでもかまいませんので、お気軽にご相談ください。
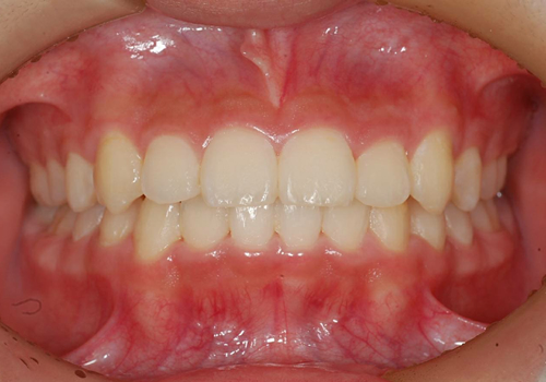
すきっ歯(空隙歯列)の治療例
| 治療前 | 治療後 | 
|---|---|
![]()  | 
               ![]()  | 
             
| 主訴 | 歯と歯の間に隙間がある | 
|---|---|
| 年齢 | 9歳 | 
| コメント | 顎の大きさに比べ、永久歯の大きさが小さく前歯が開いている状態であったため、舌の癖を改善する取り外し可能なマウスピースタイプの装置と舌の動きを良くするトレーニングを行い、その後固定式のワイヤー装置にて矯正治療を行いました。 | 
| 治療費 | 702,000円 | 
| 治療期間(治療回数) | 3年8ヶ月(44回) | 
| リスク | 治療途中に金属等のアレルギー症状がでることがあります。 | 

 
 





                        
                         
                         
                         
                         
                         
                         
                         
                         





全ての悩みを
見た目を
今までの経験を
治療に対する
精密な診断
お待たせしない
虫歯リスクの判定



