こんにちは!
よっかいち矯正歯科医院 院長 秦佑樹です!
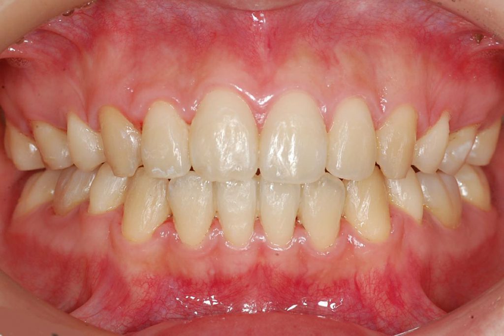
永久歯列期の全体的な治療では、機能的にも審美的にも良好な永久歯咬合の確立を目指します。この時期には、一般的にワイヤー装置を使うことが多いです。

永久歯列期の全体的な治療の方針は、非抜歯によるもの、抜歯を併用するもの、外科手術を併用するものの3つに分けられます。全ての患者さんに対して、抜歯せず、手術せず、良質な矯正歯科治療を提供したいという想いは矯正医にとって共通です。しかし、骨格的な不正や、歯と歯槽骨の不調和が顕著な場合には、抜歯や外科手術を併用しないと治療が難しい場合があります。
☆矯正治療における抜歯の3つの判断基準
1 歯と顎の大きさの比率
2 上下の顎のかみ合わせ
3 軟組織側貌(横から見たお顔が美しいかどうか)
矯正治療の目標が、「歯を綺麗に排列すること」のみにあるとしたら、多くの症例において非抜歯での配列が可能かもしれません。しかし、実際には上下顎にわたり緊密かつ機能的な咬合を営み、口唇閉鎖不全の除去や調和のとれた口もとを提供し、長期にわたる安定を目指す場合には、抜歯が必要な症例が確実に存在します。1995年に発表された愛知学院大学歯学部付属病院矯正歯科の調査では抜歯頻度は56.2%、1996年に調査された鶴見大学歯学部付属病院矯正歯科での抜歯頻度は53.4%との結果でした。
また抜歯、非抜歯については欧米人と比較した日本人の特徴の差も理解しておく必要があります。日本人は、短頭型の骨格を持ち、また鼻が低く、下顎の突出も小さく、口元が突出した特徴があります。つまり歯を排列するスペースで考えると、欧米人に比べ非抜歯治療は困難であることがわかります。
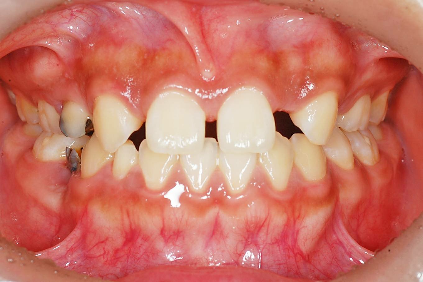
矯正治療で抜歯を行わなくてはならない理由の第1点目は、患者固有の顎が小さいか、歯が大きい場合などの問題です。このような顎骨と歯の大きさの不調和をアーチレングスディスクレパンシーと呼びます。ディスクレパンシーに対してある程度は、歯列や骨の拡大などで対応できますが、限界を超えた場合には、抜歯によりディスクレパンシーを解消することになります。大きなディスクレパンシーを持つ患者さんに対して、非抜歯治療を行った場合、過度な唇側への突出がおこったり、それに伴う唇側歯肉の退縮など歯周組織への悪影響、口唇閉鎖機能不全などの問題を生じる場合があります。また、長期の安定も重要な要因なので、それらも含め、限界を超えたと判断される場合には抜歯の適応症と判断します。
抜歯が必要となる第2点目は、上下顎の骨格的な偏位、臼歯(奥歯)のかみ合わせに偏位が認められる場合です。このような不正咬合は本来、成長発育の不調和に起因するため、根本的には外科的に改善すべきだということになります。しかし、顎骨の不調和が原因であっても、境界領域であれば矯正治療単独での治療方針で改善することができます。その多くの場合には抜歯により咬合を獲得することとなります。
第3の理由は、口唇閉鎖不全(歯が出ていて唇を閉じることができない)による機能的な問題の改善と、軟組織側貌などの審美的改善によるものです。口唇の閉鎖不全は、口腔内が乾燥するため、齲蝕や歯周病などの様々な感染リスクを増大させ、呼吸、発音、嚥下に対しても問題を起こします。また口唇が閉じられずに、いつもお口があいている状態も好ましい状態ではありません。口唇閉鎖不全の多くは、上顎前突や下顎前突、上下顎前突などの、主に歯の位置や骨格的な不正により引き起こされます。このような問題から引き起こされた口唇閉鎖不全は、矯正治療で改善が可能です。
また、口唇閉鎖不全が認められない患者でも、叢生症例などを非抜歯で治療したために、歯を唇側へ傾斜させた場合には、新たに口唇閉鎖がしにくい状態や口唇突出を招く場合があります。
以上のように①歯と顎の大きさの比率 ②上下顎の偏位の問題 ③軟組織の状態などを総合的に判断し、抜歯、非抜歯、について診断する必要があります。
よっかいち矯正歯科医院では、このような慎重な判断を正確に行うために、術前精密検査を必ず行います。検査に基づいて治療方針を説明し、患者さんに充分に納得していただいたうえで矯正治療を開始して行くことをお約束します。
目立たない矯正で、快適な矯正生活を送るなら、
四日市の矯正専門歯科医院
よっかいち矯正歯科医院/
Yokkaichi orthodontic studio
秦 佑樹
日付: 2018年3月24日 カテゴリ:不正咬合, 未分類




































全ての悩みを
見た目を
今までの経験を
治療に対する
精密な診断
お待たせしない
虫歯リスクの判定



